コラム ”パーシャルデンチャーを読み解く”

1、装着されている義歯や口腔内を観察してみよう

患者が部分床義歯の新製を希望して来院したとき、現在使用している義歯に対してどこに問題点があるのか診査することが重要である。さらに、その義歯がその場で修正が可能であれば修正をすることにより患者からの信頼を確実に得ることが可能になる。

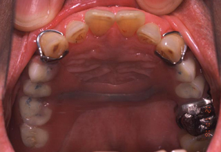
患者の口腔内 患者の口腔内

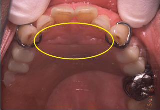
図3a 初診時

図3b 新義歯装着時

図3は、発音しづらさを訴えて来院した患者の初診時と新義歯装着時の口腔内写真である。

それでは初診時の義歯はどこが問題があるのだろうか?

まず発音についてだが、上顎の義歯を装着すると発音しづらさが問題になることがある。それは義歯により舌房がせまくなり舌が自由に動かすことができなくなるために生じるのである。さらに、歯科医師は発音する際に舌が口腔内のどの位置でどのように動いているのかを理解していなければならない。

ご存じの通り音には母音と子音がありそれぞれを組み合わせて発音されており、子音は舌のさまざまな動きにより発音されている。特に“サ”行、“タ”行や“カ”行、“ガ”行は上顎の義歯の形態と関係があることが多い。

それでは前出の症例についてであるが、図3aに示すように口蓋前方部に床が伸びており、またその床の厚みが大きい。この部分の義歯の厚みが大きくなると“サ”行、“タ”行が発音しづらくあめ玉をしゃぶったときのような発音になってしまう。そのため図に示す部位を薄くするか義歯床を短くすることが重要である。

発音において問題のある義歯

図4

図4は別の症例であるがやはり発音と装着時の違和感を訴えている。

この症例では口蓋の後方の床の厚みに問題がある。まず、口蓋の後方は“カ”行、“ガ”行が関係がある(図中、青マル部)。この部分の床が厚かったり、長かったりすると患者は発音がしづらくなる。特に“ガ”行は鼻濁音になるので歯科医師にもわかりやすい。

その際には義歯床を薄くまた短くすることが重要である。また口蓋の後方は特に上顎結節の付近は基本的に顎堤の吸収は起きにくい部位である。そのため義歯床の研磨面形態が最後方人工歯からハミュラーノッチにかけて図(黄色線)にあるように内側に走行することが多く見られる。発音を含め口腔内が狭く感じると患者が訴えた場合、上顎結節付近の口蓋側の研磨面形態を薄くして対応すると快適な義歯となる。

全部床義歯を製作する際に発音を考慮して前歯部歯頚部の歯肉形態にS状隆起を付与するが、部分床義歯の場合、欠損形態、残存歯の状態がさまざまである。歯科医師はそれぞれの患者の困りごとに耳を傾け、対話をすることが重要である。

筆者が患者と接して感じることは、多くに歯科医師が患者の訴えを十分に聴いていないことが多く、そのために患者が不満を持ったまま義歯を使用することになっている。チェアサイドで現在使用している義歯に少しだけ手を加えるだけで、患者がかなりの満足を得ることが少なくない。まずは新しく義歯を作る前に歯科医師は、現在使用している義歯についての問題点を十分に診査し対応すべきである。