コラム ”パーシャルデンチャーを読み解く”

2、義歯の設計原則についてもう一度勉強し直そう

 前回は、義歯を装着することによる口腔内の環境の変化への対応について述べた。今回は、顎堤や歯周組織の機能力への対応、すなわち具体的な義歯の設計について解説する。 パーシャルデンチャーの設計について「維持力が不足しているから義歯が安定しない」や「残存歯のアンダーカットが少ないからクラスプの設定ができない」という内容の相談をされることが多い。パーシャルデンチャーにおいて本当に“クラスプの維持力”が重要なのだろうかといつも疑問を感じている。というのは筆者自身が実際に義歯の設計を行う際には、維持力をあまり重要視していないからである。どうしてもパーシャルデンチャーの設計を説明するためには、クラスプの種類やアンダーカットの量などを説明せざるを得ない。そのために設計する際にはまずクラスプの種類、維持力について考えてしまうのである。しかし、十分に維持力を得た「外れてこない」義歯であっても口の中でガタつけば十分に機能しないものである。そこで口腔内で十分に機能する義歯という観点からもう一度設計原則について確認してみようと思う。

 まずはじめに、患者は新たに製作したパーシャルデンチャーをどれくらいの期間使用するのだろうか? 1976年、東京医科歯科大学において義歯の予後調査を行った研究がある。この研究では義歯床着後の義歯の使用率とその原因について調査している。義歯の使用率については装着5年後で50%以上の症例で義歯を使用しなくなり、その原因は義歯の破損が約30%、義歯の不適合が約25%,支台歯の障害が約23%となった。この結果を踏まえて義歯の設計に際しては“動かない”、“汚れない”、“壊れない”の3つの原則を具備する要件とされるようになった。 そこで具体的に義歯の設計を考える上でこれらの3つの要件に対してどのように対応したらよいのだろうか?

1)動かない義歯

 動かない義歯を実現するためには義歯(特に義歯床)の動きを理解する必要がある(図1)。図にある6つの動きのうち垂直性遠心回転、水平性遠心回転、頬舌回転の3つの動きが重要である。特に遊離端欠損の場合これらの動きが過度になると顎堤の吸収が促進されることが経験的に分かっている。

図1 義歯の動き

図1 義歯の動き

以前は義歯の支台歯と顎堤の咬合圧負担を考慮すると緩圧型が良いとされていた。しかし緩圧型の支台装置を選択することにより義歯床が支台歯とは無関係に機能時に動くため結果的に過度な顎堤の吸収が引き起こされた。そのため現在では支台歯と義歯床を強固に連結し義歯全体の動きを抑えるリジッドサポートが推奨されている。

リジッドサポートの設計原則には“支持”、“把持”、“維持”がある。“支持”は機能時の義歯の顎堤方向への沈下に対する抵抗、“把持”は機能時の義歯の横揺れに対する抵抗、そして“維持”は義歯の離脱に対する抵抗をそれぞれ表しており、表1には義歯の構成要素との関係が述べてある。また図2にあるように、“支持”は垂直性遠心回転の沈下、“維持”は垂直性遠心回転の浮き上がりに抵抗するものであり、“把持”は残りの水平性遠心回転および頬舌回転に抵抗するものである。 ここからわかるように、“支持”、“把持”、“維持”のうち義歯の動きを止めるためには“把持”が最も大きな役割を演じているのがわかる。つまり設計をする際にはいかに効率よく“把持”を配置するかが重要なポイントとなる。

図2 義歯の動きと設計原則との関係 表1 義歯の構成要素の設計原則との関係

図2 義歯の動きと設計原則との関係

表1 義歯の構成要素の設計原則との関係

“把持”というのは図3aにあるような相対する関係があって初めて成立し、「内側性把持」と「外側性把持」に分類することができる。図3bの右3番の遠心と右7番の近心との関係(青い線)、右3番口蓋側と右7番の口蓋側と左4番の口蓋側(緑の線)が「内側性把持」、左4番の周囲の線(黄の線)が「外側性把持」である。

 

図3a 内側性把持と外側性把持 図3b 内側性把持と外側性把持

図3a 内側性把持と外側性把持

図3b 内側性把持と外側性把持

これらの組み合わせのうちのひとつが欠けると把持の役割にはならない。 それでは表1にあるような義歯の構成要素を単純に配置すれば“把持”が得られ義歯は動かなくなるのだろうか?答えは“No”である。“把持”を得るためには支台歯に対して適切な前処置、すなわちレストシートとガイドプレーンの形成を行うことが必要である。特にガイドプレーンは複数形成されることで義歯の着脱方向が規制され義歯の動きを最小限に抑える大きな役割を演じることになる(図4)。

図4a 着脱方向に平行に形成することにより

義歯の着脱方向を規制 図4b 複数形成することにより義歯の動きを規制

図4a 着脱方向に平行に形成することにより

義歯の着脱方向を規制

図4b 複数形成することにより義歯の動きを規制

そこでレストシートとガイドプレーンを形成する際の注意点を表2にまとめてある。 これらは当然のことであるが義歯を精密印象を行う前に形成する必要があり、そのためには歯科医師があらかじめ義歯の設計を研究用模型上で検討しておくべきである。

表2 レストシートとガイドプレーンを

形成する際の注意点

表2 レストシートとガイドプレーンを形成する際の注意点

2)汚れない義歯

 汚れない義歯を実現するためには、まず設計をシンプルにすることである。また、残存歯の辺縁歯肉を被覆しないように配慮し、もし被覆しなければならない場合には刺激の少ない材料、つまり金属で接するように材料の選択を行う。それに加えて患者への指導も当然大切である。義歯装着者特有の清掃法の指導を行うべきである。

3)壊れない義歯

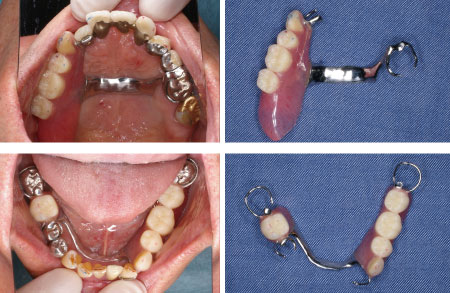
 壊れない義歯は汚れない義歯と同様に設計をシンプルにすることである。また、義歯の構造を強くするような配慮をしなければならない。主たる構造には金属を選択し、経時的に変化する部分については変化に対応できるようレジンを選択するのが原則である。ここで上述の3つの原則をふまえた症例を紹介する。 図5は何度も破折を繰り返すために義歯の新製を希望して来院した患者の口腔内と義歯の写真である。この義歯は破折を繰り返すだけでなく、歯周組織の被覆量が多いため歯周炎の原因になっている。そのため義歯を新製する際には上記の「動かない」、「汚れない」、「壊れない」を配慮して義歯を新製した。

図5 破折を繰り返す義歯

図5 破折を繰り返す義歯

図6は新製した義歯と口腔内の写真である。「動かない」ようにするために、上顎は右2番に基底結節にレストシート、遠心にガイドプレーン、左5,6番間にレストシート、ガイドプレーンを形成した。下顎は右5番の遠心、7番の近心、左8番の近心にレストシートとガイドプレーンを形成した。また、「汚れない」ために可及的に残存歯の辺縁歯肉の被覆を避け、接触せざるをえない部分についてはメタルタッチとした。「壊れない」ために大連結子に金属を使用し、レジンの中の保持装置もワンピースにすることにより強度を向上した。

 

図6 義歯の設計原則に則って作製した義歯

図6 義歯の設計原則に則って作製した義歯

 最後に、日本の健康保険制度の範囲ではそれぞれの歯科医院の経済性の問題から材料の選択についてはそれぞれの歯科医院に判断を委ねざるを得ない.しかし、歯科医師は経済性とは別にパーシャルデンチャーを製作する際には、「把持を適切に配置したシンプルな設計の動かない義歯」を念頭に設計を考えるべきである。これを実現するためには予め義歯の設計を歯科医師自ら行い、支台歯に対し適切な前処置を行わなければならない。そうすることにより製作する義歯に関して歯科医師の意図が歯科技工士へより詳細に伝わることとなる。歯科医師は設計を技工士だけに任せるのではなく、歯科技工士と対等な立場で意見を出し合ってより良い義歯を製作するべきである。