コラム ”パーシャルデンチャーを読み解く”  佐藤 雅之 先生(エムデンタルクリニック院長)

はじめに

1、装着されている義歯や口腔内を観察してみよう

2、義歯の設計原則についてもう一度勉強し直そう

3、欠損をどのようにとらえていますか?

4、クラスプを使わない義歯とは?

部分欠損補綴の選択肢を考えたとき、クラウン・ブリッジ、部分床義歯、インプラントが挙げられる。これらはそれぞれ利点・欠点があり、補綴方法自体には優劣はない。筆者自身が学生だった頃はインプラントがまだ時期尚早といわれ、補綴方法の選択肢に挙がることが少なく、残存歯や口腔環境に応じて効率よくクラウン・ブリッジと部分床義歯を選択することにより対応しており、現在でもそれは同じである。むしろ、現在ではインプラントという選択肢が加わり患者にも歯科医師にも選択の幅が広がりよい時代になったと考えている。

その一方でわが国の経済状況が低迷していることは歯科界においても同じである。保険診療での義歯の治療は不採算の代表とされ、装着すればするほど赤字になるといわれている。それに加え、義歯を装着したとしても患者の満足を得ることが難しいため歯科医師は義歯を敬遠する傾向が見られる。

一般に部分床義歯は「違和感が大きい」「審美的によくない」「よく噛めない」「しゃべりづらい」などの点で歯科医師も患者も敬遠する傾向にある。

それでは本当に部分床義歯は使いづらいのだろうか?

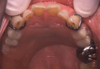
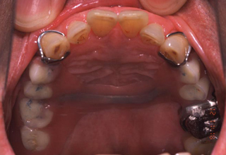
初診時の口腔内写真 主訴を考慮した保険の義歯

図1a

図1b

図1aは初診時に話しづらさと装着時の違和感を訴え来院した患者の義歯装着時の口腔内写真である. 図1bは、保険の義歯ではあるが、この主訴を考慮し装着した義歯である。
発音については舌の動きを阻害しないよう,また装着感については大連結子の形状や走行,義歯床縁の形態を配慮した。

次は、別の症例で「食べにくい」という主訴で来院した患者である。

患者が以前使用していた義歯 患者が以前使用していた義歯

図2a 患者が以前使用していた義歯

図2b 患者が以前使用していた義歯

患者が使用中の義歯 最終義歯

図2c 患者が使用中の義歯

図2d 最終義歯

図2a~cはその患者が持参した義歯である.3つの義歯のうち図2cのものを現在使用している.ほかの2つの義歯を使用しているときには食べることに不自由がなかったが現義歯になってから食べづらくなったとのことである.図2dは最終義歯を装着したときに口腔内写真である.設計自体は右側4番のクラスプを変更したものの大きな設計の変更はしていないが,最終印象を行う前に支台歯に対して適切な前処置を行った. これらの症例は最終的に患者は快適に義歯を使用している。

それではなぜ部分床義歯は歯科医師からも患者からも敬遠されることとなったのだろうか?

補綴の目的である欠損部の機能と形態の回復のために義歯を装着するということは、残存歯の歯周疾患や顎堤の吸収、そして装着時の違和感や発音のしづらさといった患者にとって少なからず犠牲を伴わせているということを歯科医師はどれだけ認識しているだろうか?

これらの犠牲を整理すると、歯周疾患や顎堤の吸収については機能力負担に対する犠牲であり、違和感や発音のしづらさは口腔環境の変化に対する犠牲である。歯科医師はこの犠牲を最小限になるような配慮をした義歯を製作しなければならない。

しかし多くの歯科医師はこの犠牲を理解してないためにどのように配慮していいのかわからず敬遠することとなってしまっている。また患者もこのような配慮のない義歯を使用しなければならないため、やはり義歯を敬遠することになっている。

部分床義歯は設計をどうしたらいいのかわからないと相談をうけることがある。

彼らに部分床義歯について,「何がわからない?」と尋ねると「設計がわからない」,「イメージができない」と必ず返ってくる.しかし,もう少し詳しくディスカッションしてみると全体の治療方針や治療計画で混乱が起きていることがほとんどである.たとえば,欠損に対してどこまでブリッジで治療を行うのか,部分床義歯はどうしたらいいのか、どの歯を残したら良いのかなどの内容である.

部分床義歯を装着するためには単純に欠損に対して義歯の設計だけを考えるのではなく、一口腔単位で治療計画を立案し、最小限の犠牲になるよう配慮しなければならないのである。

そこでこのコラムでは、部分床義歯を改めていろいろな視点から見ることにより少しでも身近な物になるよう以下の内容で話を進めていこうと思う。

著者略歴

患者が以前使用していた義歯

佐藤 雅之 先生
エムデンタルクリニック 院長


< 略歴 >

1992年 東京医科歯科大学歯学部卒業
1996年 東京医科歯科大学大学修了 歯学博士取得
1996~2001年 東京医科歯科大学歯学部附属病院 医員
2002~2007年 東京医科歯科大学大学院 助手
2007~2013年 東京医科歯科大学大学院 助教
2013年 エムデンタルクリニック開院


< 所属 >

日本補綴歯科学会、日本磁気歯科学会、日本歯科理工学会、
口腔病学会、日本歯科医学会